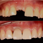
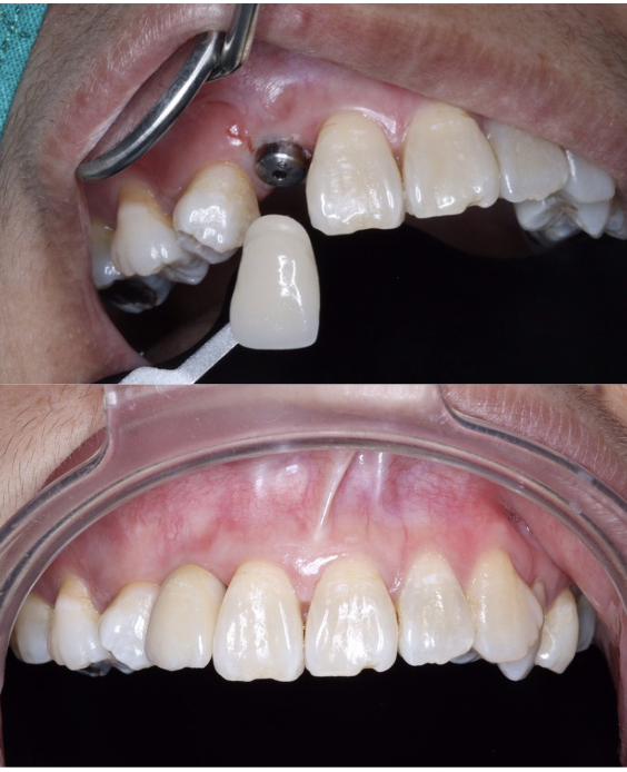
คืนรอยยิ้มและ การเคี้ยวอาหาร ด้วยรากฟันเทียม
กลับมามั่นใจทุกครั้งที่ยิ้ม เคี้ยวอาหารได้เต็มที่ ด้วยรากฟันเทียม
จากทีมทันตแพทย์เฉพาะทาง ที่ Wise Dental Clinic
พิษณุโลก
กลับมามั่นใจทุกครั้งที่ยิ้ม เคี้ยวอาหารได้เต็มที่ ด้วยรากฟันเทียม
จากทีมทันตแพทย์เฉพาะทาง ที่ Wise Dental Clinic
พิษณุโลก
ทำไมรากฟันเทียมต้องที่ Wise dental clinic
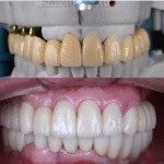
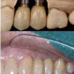
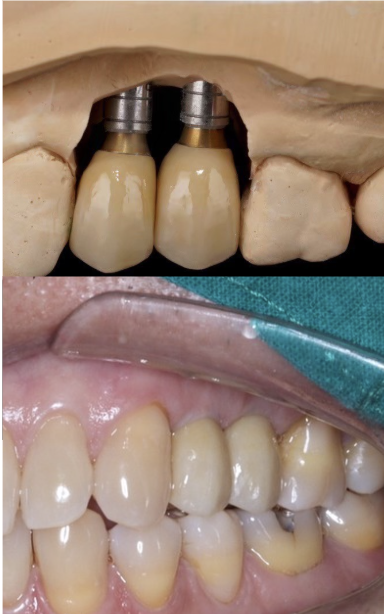
ที่คลินิกทันตกรรมไวซ์ เรามีทีมทันตแพทย์เฉพาะทางรากฟันเทียม (Implantologist) ที่มีประสบการณ์สูง พร้อมอุปกรณ์และเทคโนโลยีที่ทันสมัย เพื่อให้การรักษามีความแม่นยำ ปลอดภัย และอยู่ได้นาน

ด้วยเทคโนโลยีที่ทันสมัยของทางคลินิก ทำให้การผ่าตัดในเคสทั่วๆไป มีแผลเล็ก ปวด บวมน้อยมาก พักฟื้นเร็ว แทบไม่แตกต่างกับการถอนฟันทั่วไป
รากฟันเทียมเป็นฟันปลอมที่อยู่ได้นานที่สุด ถ้าดูแลสุขภาพช่องปากได้ดี และมาตรวจติดตามทุก 6 เดือน รากฟันเทียมจะอยู่ได้เฉลี่ย 15–20 ปี ที่สำคัญคลินิกมีการรับประกันตัวรากเทียมและครอบรากเทียมอีกด้วย
ทีมทันตแพทย์รากฟันเทียม เป็นทีมอาจารย์ทันตแพทย์ทั้งจาก
ม.นเรศวร ทันตแพทย์ จุฬา และทันตแพทย์ที่ได้รับการฝึกอบรม
รากฟันเทียมมาโดยเฉพาะทั้งจากในประเทศและต่างประเทศ มี
ประสบการณ์ทำรากฟันเทียมเป็นจำนวนมาก

รากฟันเทียมคุณภาพสูงจากเกาหลีเริ่มต้นเพียง 35,000 บาท รวม CT Scan + ครอบฟันเซอร์โคเนียคุณภาพสูง + การรับประกันรากเทียม 2 ปี
คลินิกมีความยืดหยุ่นในการชำระค่าใช้จ่าย ไม่ว่าจะเป็นการแบ่งชำระเป็นรายงวดตามขั้นตอนการรักษา หรือผ่อน 0% 10 เดือนกับทางบัตรเครดิตก็ได้
ถ้าต้องปลูกกระดูกจะมีค่าใช้จ่ายเพิ่มแล้วแต่ปริมาณวัสดุที่ใช้ประมาณ 10,000-20,000 บาทต่อซี่ ทางคลินิกจะทำการปลูกกระดูกเมื่อมีความจำเป็นเท่านั้นและทำเพื่อผลสำเร็จของรากฟันเทียมในระยะยาว โดยมีการตรวจอย่างละเอียดด้วย CT scan 3 มิติ และแจ้งค่าใช้จ่ายอย่างชัดเจนทุกครั้ง
แบรนด์รากฟันเทียมที่ให้บริการ
เราเข้าใจว่าคนไข้แต่ละท่านมีความต้องการและงบประมาณต่างกัน จึงมีรากฟันเทียมหลายระดับให้คุณเลือก
คุณหมอของเราจะช่วยแนะนำ รากฟันเทียมที่เหมาะกับโครงสร้างกระดูก เหงือก การสบฟัน และงบประมาณของคุณได้อย่างเหมาะสม


เรากล้ารับประกัน เพราะมั่นใจ ในคุณภาพการรักษา
รับประกันรากฟันเทียมเกาหลี Neobiotech 2 ปี
รับประกันครอบเซอรโครเนียบนรากฟันเทียม 1 ปี
หากรากเทียมหลุดหรือครอบแตกภายในเวลาที่รับประกัน ทางคลินิกยินดีรักษาให้ใหม่โดยไม่คิดค่าใช้จ่าย
คนไข้พูดถึงเราว่าอย่างไร
ทำรากฟันเทียมกับคุณหมอสุรัตน์ ไม่เจ็บเลย เคี้ยว
อาหารได้ดี — คุณสมบัติ
มาจากต่างประเทศ มีเวลาอยู่ไทยแค่ 2 เดือน มีปัญหา
ไม่มีฟันเคี้ยว ครอบเก่าฟันหน้าไม่สวย คุณหมอบอกต้อง
ทำใหม่เกือบทั้งปาก ครอบฟัน 20 ซี่ รากเทียม 4 ซี่ ทำเสร็จแล้วคุ้มค่ามาก ยิ้มสวย ใช้งานได้ดีเลยค่ะ — คุณนิจรินทร์
ฟันโยกทั้งปาก ฟันเสียหลายซี่มาก ต้องทำรากเทียม
ทั้งหมดเกือบ 10 ซี่ หลังทำเสร็จหนุ่มขึ้นมาก อยากกิน
อะไรก็กินได้ ตอนทำเจ็บนิดเดียว — คุณทนงศักดิ์
ติดต่อเราวันนี้
หากท่านสนใจที่จะปรึกษาการทดแทนฟันด้วยรากฟันเทียม สามารถติดต่อสอบถามกับทาง Wise Dental Clinic เพื่อนัดปรึกษากับทันตแพทย์ผู้เชี่ยวชาญ โดยไม่มีค่าใช้จ่ายในการให้คำปรึกษา
Wise dental clinic สาขา 1 (สาขาบ้านคลอง ข้างตลาดไดโนเสาร์)
อยู่ที่ 330 32-33 ถ.สีหราชเดโชชัย ต.บ้านคลอง อ.เมือง จ.พิษณุโลก 65000
โทร: 099-268-9656
Wise Dental Clinic สาขา 2 (สาขาใกล้ 5 แยกโคกมะตูม)
อยู่ที่ 266/13-14 ถนน พิชัยสงคราม ตำบลในเมือง อำเภอเมือง จังหวัดพิษณุโลก 65000
โทร : 081-195-0017